Description
Synonym(s): Löfflere′s methylene blue solution, Methylene blue solution acc. to Löffler
General description
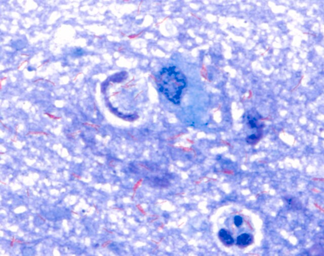
Löffler′s methylene blue solution – for microscopy, is a ready-to-use-solution and is used for human-medical cell diagnosis and serves the purpose of the bacteriological and histological investigation of sample material of human origin, for example smears of enriched bacterial cultures or histological sections of e. g. the lung. The cell wall of acid-fast bacteria has a high proportion of wax and lipids and hence absorbs dyes only very slowly. The most efficient staining method is the hot staining according to Ziehl-Neelsen. In this method, carbolfuchsin solution is applied to the specimen and heated. This heating process accelerates the rate at which the fuchsin dye is absorbed and thus also that of the formation of the mycolate-fuchsin complex in the cell wall. Once the acid-fast bacteria have absorbed the fuchsin dye, it is virtually impossible to decolorize them again, even when they are intensively treated with a decolorizing solution such as e. g. hydrochloric acid in ethanol. Accordingly, acid-fast bacteria are termed as acid- and alcohol-fast for staining, and are stained red in the microscopic visualization. Correspondingly, all non-acid-fast microorganisms are counterstained with an appropriate dye. In this instruction for use methylene blue is used for counterstaining.
Pretreatment of the specimens with Sputofluol™ dissolves the bacteria from the surrounding viscid sputum and cell material.
The 2.5 Litre bottle is sufficient for approx. 1 250 stainings. This product is registered as IVD and CE marked
PROPERTIES
form
liquid
IVD
for in vitro diagnostic use
pH
7.0-7.5 (20 °C in H2O)
transition temp
flash point 40 °C
density
0.97 g/cm3 at 20 °C
application(s)
clinical testing
diagnostic assay manufacturing
hematology
histology


![BRAND® pipette tips, racked, volume 0.1-20 μL, non-sterile [Pack of 10×96]](https://idealmedical.co.za/wp/wp-content/uploads/2021/08/324-Pipette-tips-racked-300x300.jpg)
![HY-LiTE® Liquid Test Pens for Total ATP [Pack of 50]](https://idealmedical.co.za/wp/wp-content/uploads/2022/02/373-hylite-test-pens-300x300.jpg)

Reviews
There are no reviews yet.